
⭐️Loyal Saints Amazing Yoshi
YOSHI
⭐️Loyal Saints Amazing Yoshi
♂️ s.12.10.2023
om./ kasv. Johanna Rekola
Yoshi omaa rauhallisen ja kiltin luonteen. Todellinen syli vauva ja kaikkien kaveri.

Näyttelyt:
5x Rop pentu
FI JMVA
HeJW-24
JV-24

2024 pk näyttely pentu


17.8.2024 FI JMVA
TERVEYS:
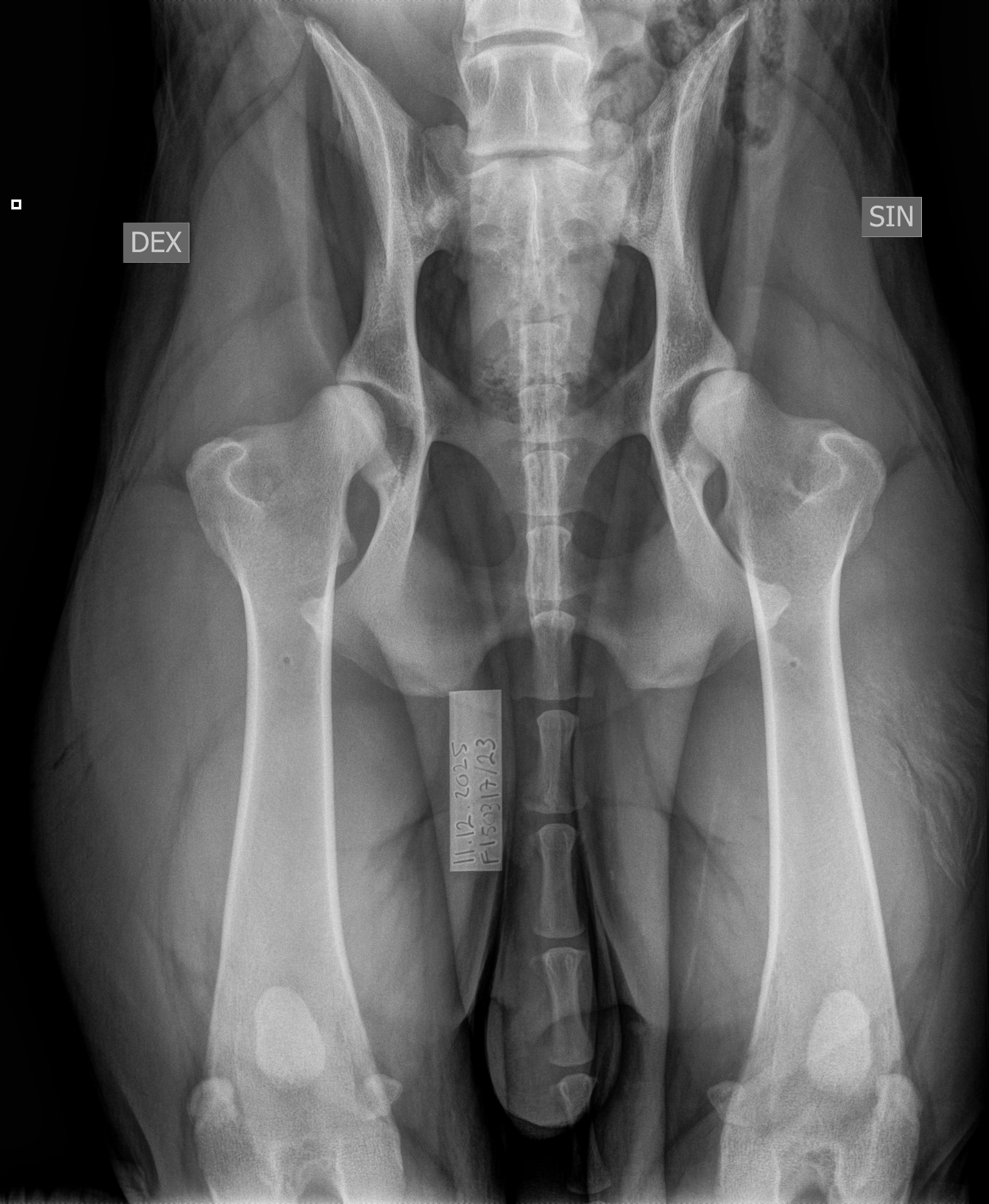
| 12.12.2025 | kyynärniveldysplasia lonkkaniveldysplasia | 0/0 D/D |
| 14.12.2025 | selkälausunto nikamien epämuotoisuus selän spondyloosi välimuotoinen lanne-ristinikama | VA1 (Aste 1, lievä), lukumäärä: 1 SP0 (Puhdas) LTV0 (Normaali) |


